- El cáncer de mama es la principal causa de muerte por cáncer en mujeres a escala global. La detección temprana es la herramienta más eficaz para mejorar el pronóstico y aumentar la sobrevida. Por eso, promover la concientización y los controles preventivos es fundamental: un diagnóstico precoz resulta en oportunidades de tratamiento más efectivas y una mejor calidad de vida.
- A pesar de los avances terapéuticos, el cáncer de mama sigue siendo una enfermedad compleja y heterogénea. Comprender los mecanismos biológicos que impulsan su progresión es esencial para desarrollar estrategias de diagnóstico y tratamiento más precisas y personalizadas.
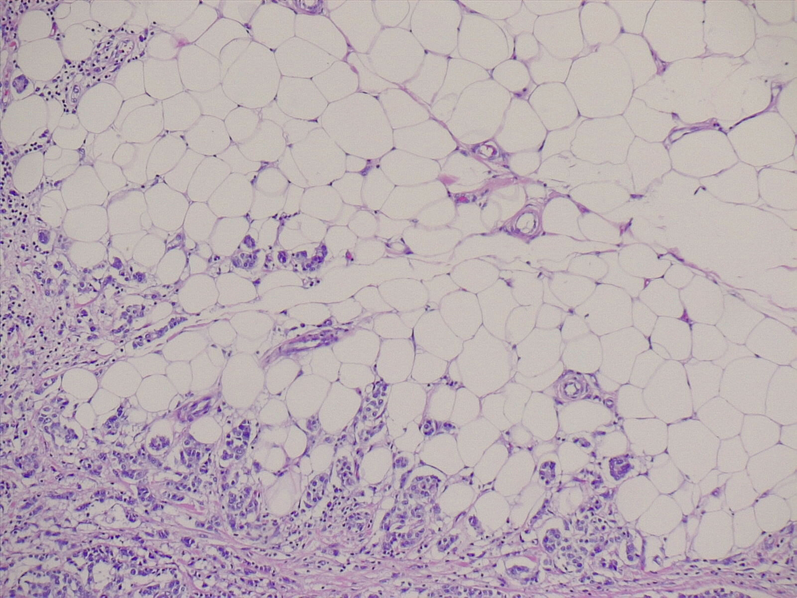
- En el laboratorio de Química de Proteoglicanos y Matriz Extracelular, nuestro grupo de trabajo investiga cómo el tejido adiposo que rodea al tumor —denominado tejido adiposo peritumoral— influye en el comportamiento del cáncer de mama. Analizamos cómo los factores solubles liberados por los adipocitos —mediadores inflamatorios, factores de crecimiento y citocinas— pueden modificar la biología de las células tumorales, y promover su crecimiento, migración y capacidad metastásica.
- Nuestro objetivo es identificar nuevos biomarcadores derivados del microambiente adiposo que se puedan utilizar como herramientas pronósticas o terapéuticas. Con ello aspiramos a contribuir al diseño de estrategias más efectivas para prevenir la progresión tumoral y mejorar la calidad de vida de las pacientes con cáncer de mama.
