– En nuestro laboratorio investigamos estrategias terapéuticas alternativas para el tratamiento de la diabetes. En particular, estudiamos un compuesto inmunomodulador que ha demostrado promover la regeneración tisular, mejorar el control de los niveles de glucosa en sangre y modular la respuesta inmune asociada tanto a la destrucción de las células beta pancreáticas productoras de insulina como a la resistencia a la insulina. Además, analizamos cómo perturbadores endocrinos ambientales afectan el control de la glucemia y la función de las células beta, contribuyendo al desarrollo o progresión de la enfermedad.
– La importancia de estudiar la diabetes radica en que es una enfermedad crónica en rápido crecimiento que afecta a millones de personas en todo el mundo y además, está asociada a graves complicaciones que reducen la calidad y la expectativa de vida. En Argentina, uno de cada diez adultos presenta diabetes o glucemia elevada, y cerca del 40% desconoce su diagnóstico. Si bien existen tratamientos para controlar los niveles de glucosa en sangre, muchos presentan efectos secundarios o pierden eficacia con el tiempo. Por ello, es fundamental investigar sus causas, los factores de riesgo involucrados y desarrollar nuevas estrategias preventivas y terapéuticas que permitan frenar su progresión, mejorar la calidad de vida de los pacientes y reducir los costos sanitarios.
– Hasta ahora, la prevención y el cuidado de la diabetes se sostienen en dos pilares clave: la adopción de hábitos de vida saludables y el control temprano de los factores de riesgo. Entre las medidas más efectivas se destacan:
. Alimentación equilibrada, baja en azúcares simples y grasas saturadas, y rica en fibras.
. Actividad física regular, que favorece un peso saludable y mejora la sensibilidad a la insulina.
. Control del peso corporal, ya que el sobrepeso y la obesidad aumentan el riesgo de desarrollar la enfermedad.
. Evitar el tabaco y moderar el consumo de alcohol, ambos asociados no solo a un mayor riesgo de diabetes sino también a complicaciones metabólicas y cardiovasculares.
Además, el control médico periódico y la educación en salud son esenciales para detectar de manera temprana alteraciones en los niveles de glucosa y prevenir o retrasar la aparición de diabetes y sus complicaciones
– Nuestro grupo de investigación aporta a la sociedad a través de dos enfoques complementarios:
1. La búsqueda de nuevas estrategias terapéuticas dirigidas a preservar la función de las células beta productoras de insulina, mejorar el control de la glucemia y modular la respuesta inmunitaria, con el objetivo de frenar la progresión de la diabetes y mejorar la calidad de vida de los pacientes.
2. El estudio del impacto de contaminantes ambientales en el control de la glucemia, lo que permite identificar factores externos que podrían estar involucrados en el desarrollo y/o avance de la enfermedad.
En conjunto, este abordaje integral abre la posibilidad de desarrollar tratamientos más eficaces y estrategias preventivas, mejorando la calidad de vida de las personas con diabetes, reduciendo el impacto social y económico de la enfermedad y destacando la interrelación entre salud humana y ambiente.
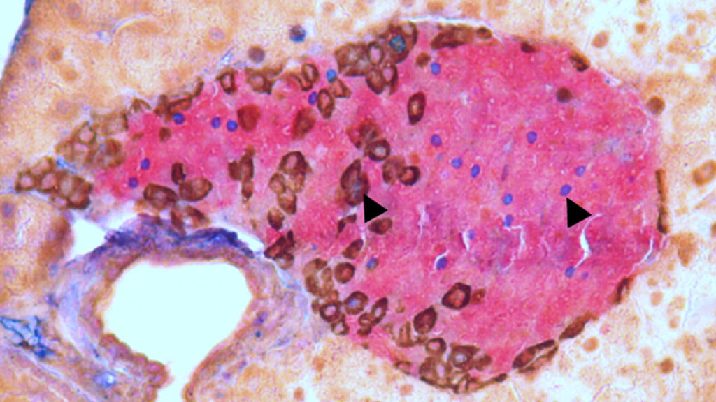
- Los islotes pancreáticos, también conocidos como islotes de Langerhans, son grupos de células productoras de las hormonas, que forman “islas” dispersas en el páncreas. Los islotes contienen varios tipos de células diferentes. y constituyen hasta el 2 % de la masa pancreática total. En la foto se puede apreciar que están formados mayoritariamente por células beta productoras de insulina (de color rosa) y también por células alfa productoras de glucagon (color marrón). En color azul están marcados los núcleos de células que se están dividiendo. Cuando los islotes no pueden producir la cantidad de insulina necesaria para controlar los niveles de azúcar en sangre en el organismo, se establece la diabetes.
IMAGEN: Investigadores del Laboratorio de Neuroendocrinología.

