- Octubre es el mes de la concientización sobre el cáncer de mama, una oportunidad para recordar que la detección temprana salva vidas. Cuando el cáncer se descubre en etapas iniciales la tasa de curación puede superar el 90%, por ello la detección precoz es la clave del éxito de los tratamientos.
- En Argentina, se detectan más de 22.000 casos nuevos al año y alrededor de 6.000 muertes por cáncer de mama. Además, más del 75% de los casos se dan en mujeres sin antecedentes familiares. Por estos motivos, estudiar el cáncer de mama es fundamental para entender por qué algunos tumores progresan o resisten a las terapias lo que nos ayudará a desarrollar tratamientos más efectivos y personalizados.
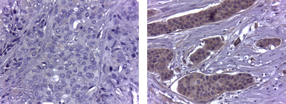
- En nuestro laboratorio estudiamos los mecanismos de resistencia a terapias en cáncer de mama y como poder superarla. En particular, hemos descripto que la alta expresión de una proteína llamada mucina 4 está relacionada con la citoquina TNF alfa y es un indicador de peor pronóstico. Hemos demostrado en modelos preclínicos que al bloquear el TNF alfa, la mucina 4 disminuye y el tumor responde a la terapia.
- Nuestro objetivo es comprender los procesos tumorales para hacer que las terapias sean más efectivas y personalizadas. La ciencia y la prevención van de la mano, realizarse los controles mamarios regulares y consultar con el médico ante cualquier cambio permite la detección temprana y salva vidas.
- Expresión de la proteína mucina 4 en muestras de pacientes con cáncer de mama medidas por inmunohistoquímica. La marca marrón denota la expresión de mucina 4 y la tinción violeta los núcleos de las células. A la izquierda se ve un tejido con menor cantidad de mucina 4 en oposición al de derecha que tiene mayor expresión e indica un peor pronóstico.IMAGEN: Laboratorio de Inmunología Tumoral
