En el laboratorio investigamos sobre el cáncer de mama, una patología donde los tratamientos han mejorado muchísimo pero donde aún es altamente frecuente la resistencia a las terapias convencionales.
En particular estudiamos cómo ocurre la desregulación de ciertas proteínas, denominadas quinasas y ciertos ARNs pequeños (microARNs) que son críticos en el desarrollo de esta patología.
En colaboración con médicos oncólogos del Instituto Alexander Fleming, del Hospital Italiano y del Hospital Provincial de Neuquén, trabajamos en la búsqueda de nuevos biomarcadores tumorales que faciliten el seguimiento clínico del cáncer de mama y que a futuro puedan ser utilizados para predecir la respuesta terapéutica. El objetivo es abordar algunas problemáticas que surgen en la práctica clínica de rutina.
Nuestro objetivo es identificar nuevos biomarcadores que permitan mejorar la clasificación de los tumores y optimizar los tratamientos de esta enfermedad, así como predecir qué pacientes van a recaer a un determinado tratamiento e intervenir a tiempo.
Creemos que la detección temprana es fundamental ya que mejora muchísimo la respuesta terapéutica de los pacientes en general y en cáncer de mama en particular. Por lo tanto, es muy importante que las mujeres realicen los controles periódicos y, por otra parte, avanzar en investigaciones que permitan mejorar el diagnóstico temprano de la enfermedad.
Gracias a la investigación básica y aplicada, en oncología se ha avanzado muchísimo en los métodos de diagnóstico, tratamiento y prevención, si bien queda camino por recorrer. A futuro será clave identificar nuevas moléculas que faciliten el diagnóstico temprano y poder clasificar a cada tipo de tumor para ofrecer las terapias más efectivas a cada paciente.

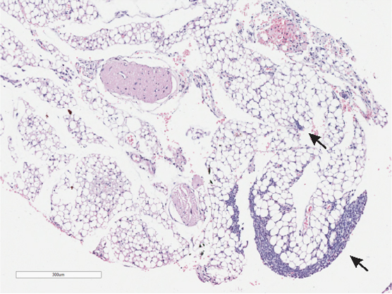
  • Imagen de metástasis pulmonares derivadas de tumores mamarios en un modelo murino experimental, diseñado para investigar el papel de los microARNs en el desarrollo de esta enfermedad.

IMAGEN: Investigadores del Laboratorio de Proteínas Quinasas y Oncología Molecular.